Dr. Paul Perella, DMD
Your Dentist in North Palm Beach
Schedule an Appointment
Leave a Google Review
(561) 290-1636
Dr. Paul Perella
Menu
Call
Book Now
Map
Home
About
Our Team
Office Pictures
Services
View All
Cleanings and check ups
Root Planing and Scaling
Periodontal Maintenance
Fillings
Crowns and Bridges
Extractions
Teeth Whitening
Toothaches
Dental Emergencies
Smile Gallery
Testimonials
Forms
FAQs
View All
Other
Cleanings and check ups
Root Planing and Scaling
Crowns and Bridges
Extractions
Toothaches
Dental Emergencies
Blog
Financial
Contact
Dr. Paul Perella, DMD
>
Smile Gallery
>
Zoom Whitening
Zoom Whitening
Return to Smile Gallery
Previous
Next
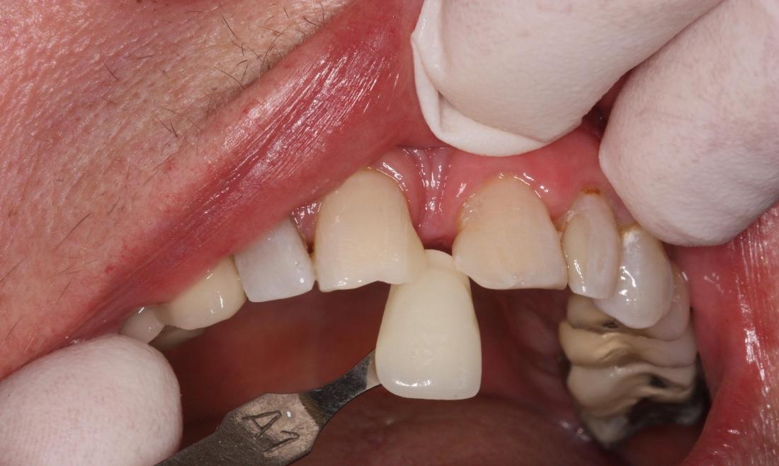
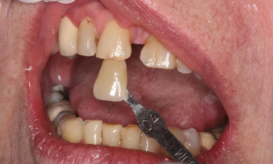
Using a tooth shade guide, you can see how much lighter your teeth can get with whitening.
Related Services:
Teeth Whitening
Drag the arrows back and forth to view complete Before and After views
Ready to book an appointment?
Schedule Now
If you have difficulty using our website, please
email us
or call us at
(561) 290-1636
View the
ADA Accessibility Statement
Turn on ADA Views
Privacy Policy
OK!
×
×
Contact Us Today
Give Us A Call
North Palm Beach Dentistry -
(561) 290-1636
Send Us an Email
Request an Appointment
Contact Us
Ready to Schedule an Appointment?
Book Online
Have Questions? Contact Us:
Required Field
Your Name:
Phone:
Email:
Are you a new patient?:
Are you a?
New Patient
Current Patient
How would you like us to contact you?
Please choose
Email
Call
How did you hear about us?
Please choose
I'm an existing patient
Google/Bing
Mailer
Word of mouth
Social media
Other
Who Referred You?:
Appointment Preferences
Monday
Tuesday
Wednesday
Thursday
Your Message:
This site is protected by reCAPTCHA and the Google
Privacy Policy
and
Terms of Service
apply.
Sending...
×
This Patient's Experience
Loading Testimonial...
Loading Case...