Skip to main content
Crowns and Bridges
Improve your smile today – call to schedule a consultation!
Claim Now!

Crowns and Bridges

Bridges

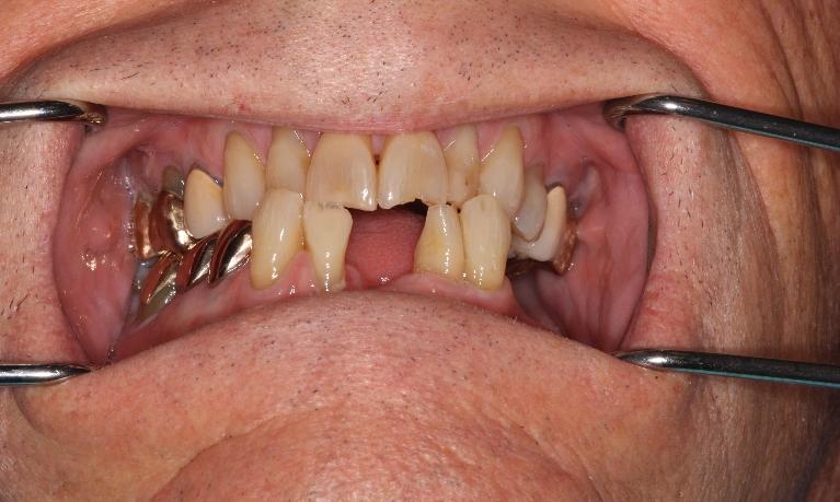
Bridges are natural-looking dental appliances that can replace a section of missing teeth. Because they are custom-made, bridges are barely noticeable and can restore the natural contour of teeth as well as the proper bite relationship between upper and lower teeth.

Bridges are sometimes referred to as fixed partial dentures, because they are semi-permanent and are bonded to existing teeth or implants. There are several types of fixed dental bridges (cannot be removed), including conventional fixed bridges, cantilever bridges and resin-bonded bridges.  Unlike a removable bridge, which you can take out and clean, your dentist can only remove a fixed bridge.  .

Porcelain, gold alloys or combinations of materials are usually used to make bridge appliances.

Appliances called implant bridges are attached to an area below the gum tissue, or the bone.

Crowns

Crowns are synthetic caps, usually made of a material like porcelain, placed on the top of a tooth.

Crowns are typically used to restore a tooth's function and appearance following a restorative procedure such as a root canal. When decay in a tooth has become so advanced that large portions of the tooth must be removed, crowns are often used to restore the tooth.

Crowns are also used to attach bridges, cover implants, prevent a cracked tooth from becoming worse, or an existing filling is in jeopardy of becoming loose or dislocated. Crowns also serve an aesthetic use, and are applied when a discolored or stained tooth needs to be restored to its natural appearance.

 

Procedures

A tooth must usually be reduced in size to accommodate a crown. An impression is then made from the existing tooth to create a custom-designed crown.  The impression is sent to a special lab, which manufactures a custom-designed crown. In some cases, a temporary crown is applied until the permanent crown is ready. Permanent crowns are cemented in place.

Crowns are sometimes confused with veneers, but they are quite different. Veneers are typically applied only to relatively small areas.

 

Caring For Your Crowns

Proper care, a good quality crown could last up to eight years or longer. It is very important to floss in the area of the crown to avoid excess plaque or collection of debris around the restoration.

Certain behaviors such as jaw clenching or bruxism (teeth grinding) significantly shorten the life of a crown. Moreover, eating brittle foods, ice or hard candy can compromise the adhesion of the crown, or even damage the crown.

 

 

Frequently Asked Questions

Also called a "cap", a dental crown is placed over a tooth, fully encasing the tooth at and above the gum line. It's purpose is to cover the tooth in order to restore its shape, size, strength and improve its overall appearance. 

The dentist will recommend a crown in the following situations:

  • A tooth that has become weak from decay may be in danger of breaking and cracking. A crown will hold together the parts of the tooth to prevent breakage.
  • A tooth that has been severely worn down or broken can be restored by a crown.
  • When a tooth has a large filling and not much else of the tooth is left, a crown can cover and support it.
  • A bridge that needs to be kept in place can be kept in place by a crown or crowns.
  • To cover misshapen or severely discolored teeth.
  • To make a cosmetic modification.

A dental bridge, quite literally, bridges the gap between teeth that are missing. It is made up of two or more crowns on either side of the gap and a false tooth/teeth in between. These false teeth are called pontics.

A dental bridge:

  • Restores your smile
  • Restores the ability to properly chew and speak
  • Maintains the shape of your face
  • Distributes the forces in your bite properly by replacing the missing teeth
  • Prevents remaining teeth from moving out of position

Meet Our Doctor:

Dr. Paul Perella DMD

Originally from Tampa, Florida, Dr. Paul Perella graduated from the University of Florida College of Dentistry in 2001. He attended the University of North Carolina at Wilmington for his undergraduate degree in Biology with a minor in Chemistry.

He is a member of the American Dental Association (ADA), the Florida Dental Association (FDA), and the Atlantic Coast District Dental Association (ACDDA).

Dr. Perella ensures his patients receive the best care and most up to date treatment. He is committed to excellence by ...

Featured Blog Posts - Crowns and Bridges

April 28, 2014

What are dental crowns?

A crown is a tooth shaped "cap" that is placed over a tooth to cover the tooth in order to restore its shape, size, strength and improve its appearance. They are very common and can last from 5 to 15 years.

If your dentist has told you that you need a crown, here are some reasons why:

1) To protect a tooth that is weak (from decay, perhaps) from breaking or to hold together parts of a cracked tooth.

2) To restore an already broken tooth or a tooth that has been severely worn.

3) To cover and support a tooth that has a large filling where there isn't a lot of ...

August 28, 2013

IMAGINE...CLONING JOHN LENNON FROM HIS TOOTH

The man who bought John Lennon's molar two years ago--Canadian dentist Michael Zuk--is seeking headlines again, putting out a press release and launching a website indicating his intention to extract DNA from the tooth with the lofty goal of cloning the legendary musician.

At the time of the tooth's sale, Rolling Stone magazine reported Lennon's molar was too fragile to be DNA tested to confirm it belonged to Lennon. However, Zuk now contends he has hopes to "fully sequence" Lennon's DNA. "With researchers working on ways to clone mammoths, the same technology certainly could make human cloning a reality," he said in a statement. "To potentially ...

March 19, 2013

FAMOUS DENTAL MOMENTS IN AMERICAN HISTORY

Paul Revere
This American Revolution Patriot, who is celebrated for his "Midnight Ride" shouting "The British are coming!," took up dentistry when his silversmith was struggling. He was trained by a practicing surgeon that was staying at a friend's house. Revere was skilled in the art of dentures and he advertised his denture services in Colonial newspapers.

John "Doc" Holliday
"Doc" Holliday is known for his gunslinger days in the Old West with his friend Wyatt Earp and their gunfight in the O.K. Corral. Before he became a gambler and a gunman, he received his degree as a DDS and practiced dentistry in Atlanta.

Pearl Zane Grey

Getting an appointment is fast and easy!
Get Started!